ワイヤー矯正で口ゴボ改善をした症例


| 年齢 | 25歳女性 |
|---|---|
| 主訴 | 口元の突出感が気になる症例 |
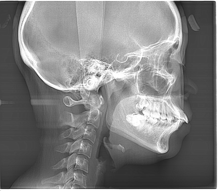
| 治療前の症状 | 上下切歯の傾斜が大きい症例Interincisal angle 99° |
| 治療期間 | 2年 |
| 治療内容 | 上下第一小臼歯4本抜歯をし、over jet の改善をし、側貌の改善をした。 |
| 治療費用 | 88万円 |
Before

After

Before

After

Before

After

Before

After

Before

After

この患者様は、歯の凸凹も気になるが、一番は口元の突出を改善したい、とのことでした。
この方の場合は上下の骨格の関係も二級関係(上顎が若干前・下顎が若干後ろに位置している)もありましたが、最も顕著だったのは、上下の前歯の歯の軸が上下ともに前に倒れていることでした。
注目していただきたいのは前歯の角度です。
上下の前歯が作る角度(インターインサイザルアングル)が99°でした。
99度ってどうなの?」と思われるかもしれませんが、理想的な美しさとされる角度は約120度〜130度と言われています。つまり、99度というのは「前歯がかなり外側にパタンと倒れて、突き出している状態」なんです。
この角度が深くなる(120〜130度に近づく)ことで、唇がスッと中に入り、横顔のEラインが整います。数字で見ると、矯正でどれだけ歯の土台から角度が変わったかが一目瞭然です。
患者様も顔が変わったって言われる!とおっしゃっていました。
矯正治療で、症例にもよりますが、口元の激変で整形級に変わる方もいらっしゃいます。(例えば口元は出ているが歯がすでに飛び出ていなくて、傾斜がない場合の方が口元を引くのむづかしくなります。)
きれいになっていくのを見るのは私たちの喜びでもあります!
前歯の角度を整えるだけで、横顔は「整形級」に変わります。
今回の症例は、角度99°から理想の130°へ。
「長年の悩みが解消して嬉しい」という笑顔が私たちの原動力です。 口元の突出感でお悩みの方、ぜひ一度かねしま歯科にご相談ください!